



Welcome to Broward Dental Academy
Meet Professor Harry Panahi
Periodontics
Periodontics Training Program
Master the Science of Gum Health. Elevate Your Clinical Value.
Periodontal disease is one of the most common chronic conditions affecting adults — and one of the most preventable and treatable when managed correctly. That is why advanced training in Periodontics is one of the most valuable specializations a dental professional can pursue.
At Broward Dental Academy, our Periodontics Training Program is designed for students who want to move beyond general assisting and develop specialized knowledge in the diagnosis, treatment, and long-term management of periodontal disease.
This program transforms you from a general clinical assistant into a periodontal support specialist — someone who understands the biology, instrumentation, surgical protocols, maintenance therapy, and patient education required to preserve oral health.
In modern dentistry, gum health is not secondary, It is foundational.
And professionals trained in periodontics are in high demand.
What You Will Master in Periodontics Training
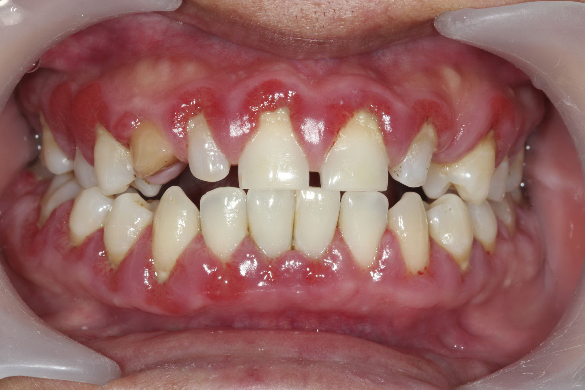
Understanding Periodontal Disease
Before treatment comes understanding.
You will develop a deep knowledge of:
- The etiology of gingivitis and periodontitis
- The role of plaque biofilm and calculus
- Risk factors including systemic conditions
- The oral-systemic health connection
- Stages and grading of periodontal disease
This scientific foundation allows you to support accurate diagnosis and effective treatment planning.
Periodontal Examination & Charting
Precision matters in periodontics.
You will learn to:
- Assist during comprehensive periodontal evaluations
- Understand probing depths and attachment loss
- Recognize bleeding indices and mobility
- Support radiographic interpretation
- Accurately document findings
Clear and accurate periodontal charting is essential for both patient care and legal protection.
Periodontal Instrumentation & Nonsurgical Therapy
Nonsurgical therapy is the first line of defense against periodontal disease.
You will gain exposure to:
- Hand scaling instruments and their design
- Ultrasonic scaling principles
- Scaling and root planing workflows
- Assisting during periodontal debridement
- Periodontal maintenance protocols
Understanding instrumentation enhances clinical efficiency and improves patient outcomes.
Surgical Periodontics & Advanced Procedures
For advanced cases, surgical intervention may be required.
You will learn the fundamentals of:
- Flap surgery concepts
- Bone grafting procedures
- Guided tissue regeneration
- Suturing principles
- Postoperative care and complication awareness
Assistants trained in surgical periodontics are highly valued in specialty and implant-focused practices.
Lasers in Periodontics
Laser therapy is reshaping periodontal treatment.
You will explore:
- Principles of laser-tissue interaction
- Indications for periodontal laser procedures
- Safety considerations
- Workflow integration
Understanding modern periodontal technologies increases your relevance in forward-thinking practices.
Dental Implants & Periodontal Maintenance
Periodontal health and implant success are directly connected.
You will learn:
- Maintenance protocols for implants
- Recognition of peri-implantitis
- Long-term supportive periodontal therapy
- Patient compliance strategies
Specialized maintenance knowledge is essential in implant-driven practices.
Patient Education & Risk Reduction
Successful periodontal therapy depends on patient participation.
You will develop skills in:
- Oral hygiene instruction
- Motivational communication
- Nutritional considerations
- Smoking cessation awareness
- Long-term recall scheduling
Professionals who can educate and motivate patients improve case acceptance and retention.
Why Periodontics Certification Elevates Your Career:
A student trained in periodontics demonstrates:
- Advanced knowledge of gum and bone health
- Strong understanding of oral-systemic connections
- Surgical awareness and instrumentation familiarity
- Implant maintenance competency
- Enhanced patient education skills
- Higher-level clinical confidence
Specialty knowledge increases your professional credibility and opens doors to periodontal and implant practices, multi-specialty groups, and advanced general practices.
Periodontics is not just about gums.
It is about preserving the foundation of every smile.
Build Specialized Clinical Authority
If you want to:
- Develop deeper clinical expertise
- Work in specialty or implant-focused practices
- Increase your professional value
- Play a critical role in long-term oral health
Then our Periodontics Training Program at Broward Dental Academy is your next strategic step.
Master the science.
Support the surgery.
Protect the foundation of every patient’s smile.