



Welcome to Broward Dental Academy
Meet Professor Harry Panahi
Orthodontics
Orthodontics Training Program
Shape Smiles. Build Confidence. Master Precision.
Orthodontics is more than straight teeth — it is biomechanics, diagnosis, growth management, and long-term smile transformation.
At Broward Dental Academy, our Orthodontics Training Program prepares students to confidently support traditional braces, clear aligner therapy, orthodontic diagnostics, and treatment progression.
As orthodontic treatment continues to grow in popularity among teens and adults, practices need well-trained assistants who understand appliances, records, adjustments, and patient compliance protocols.
This course positions you to work in orthodontic specialty practices or high-level general practices that offer comprehensive alignment services.
Orthodontics is not routine dentistry.
It is precision dentistry.
And skilled orthodontic assistants are in high demand.
What You Will Master in Orthodontics Training
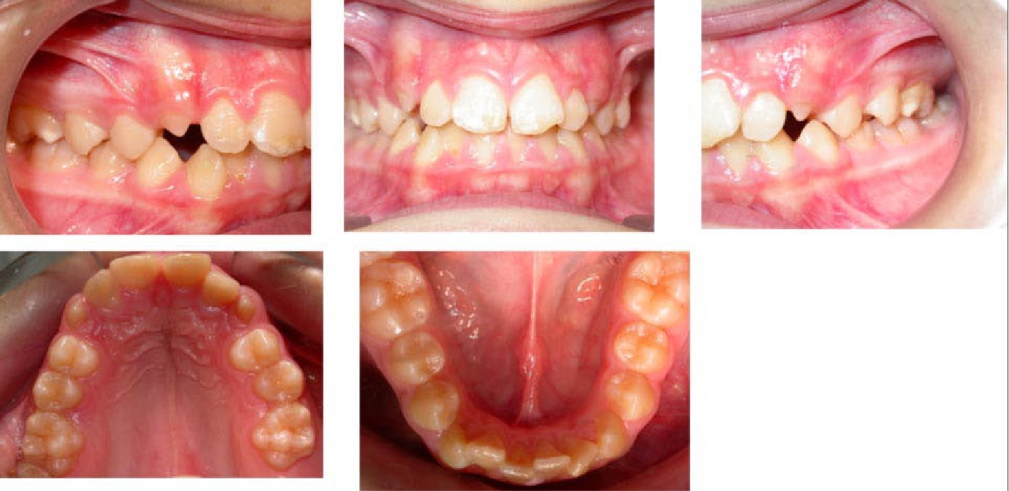
Foundations of Orthodontics & Malocclusion
Before correction comes diagnosis.
You will develop a strong understanding of:
- Types and classifications of malocclusion
- Skeletal vs. dental discrepancies
- Growth and development considerations
- Occlusion principles
- The impact of alignment on oral health
Understanding the “why” behind tooth movement makes you a more effective clinical team member.
Orthodontic Records & Treatment Planning
Orthodontic success begins with accurate records.
You will gain exposure to:
- Intraoral and extraoral photography
- Radiographic interpretation basics
- Digital scanning and impressions
- Study models and digital workflows
- Case presentation fundamentals
Assistants who understand records improve efficiency and patient case acceptance.
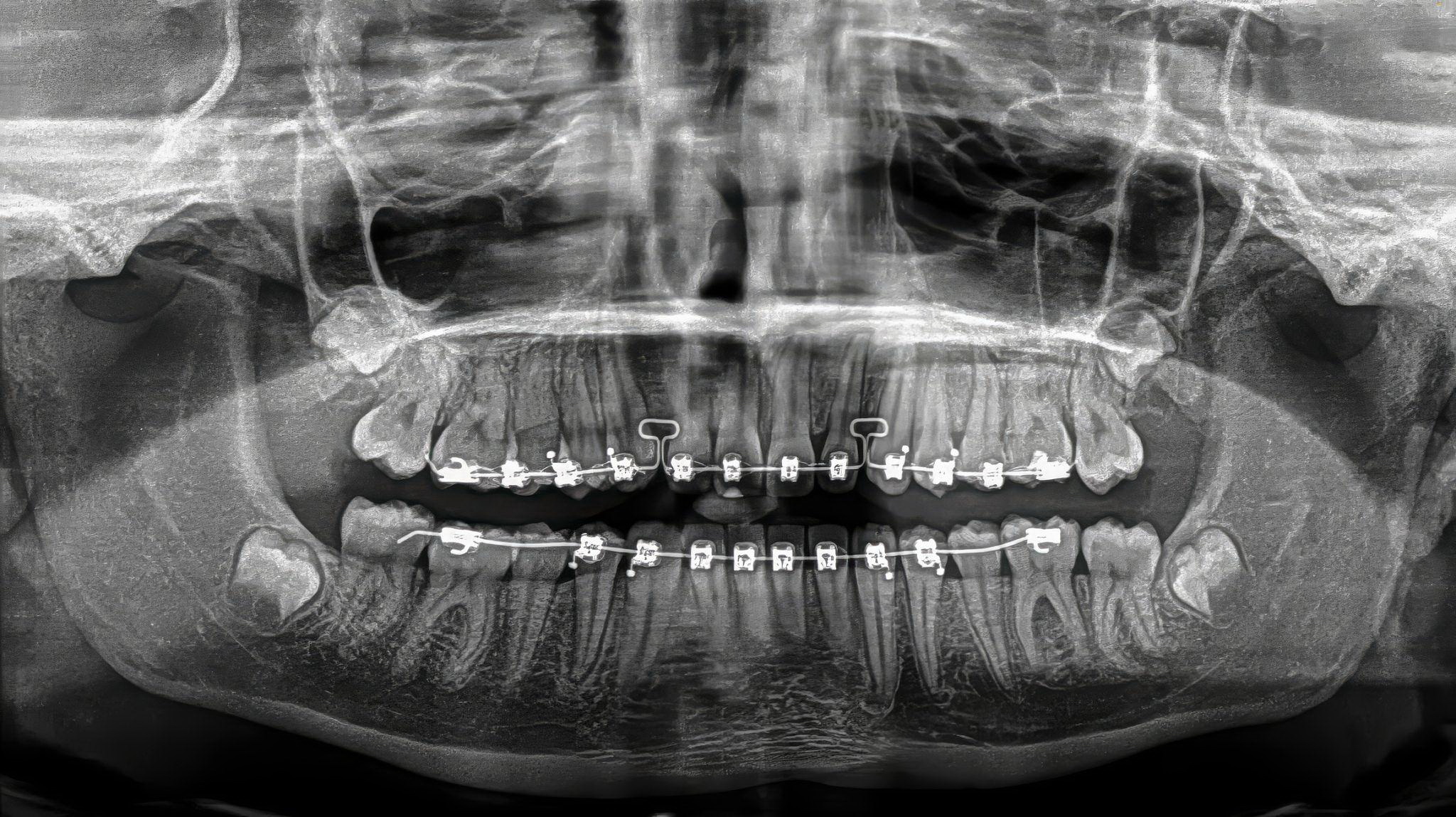
Traditional Braces & Fixed Appliances
Fixed orthodontic therapy requires precision and coordination.
You will learn about:
- Bracket systems and archwires
- Bonding procedures
- Instrument identification
- Adjustment appointments
- Debonding protocols
Understanding appliance mechanics helps you anticipate each step of the procedure and maintain smooth clinical flow.
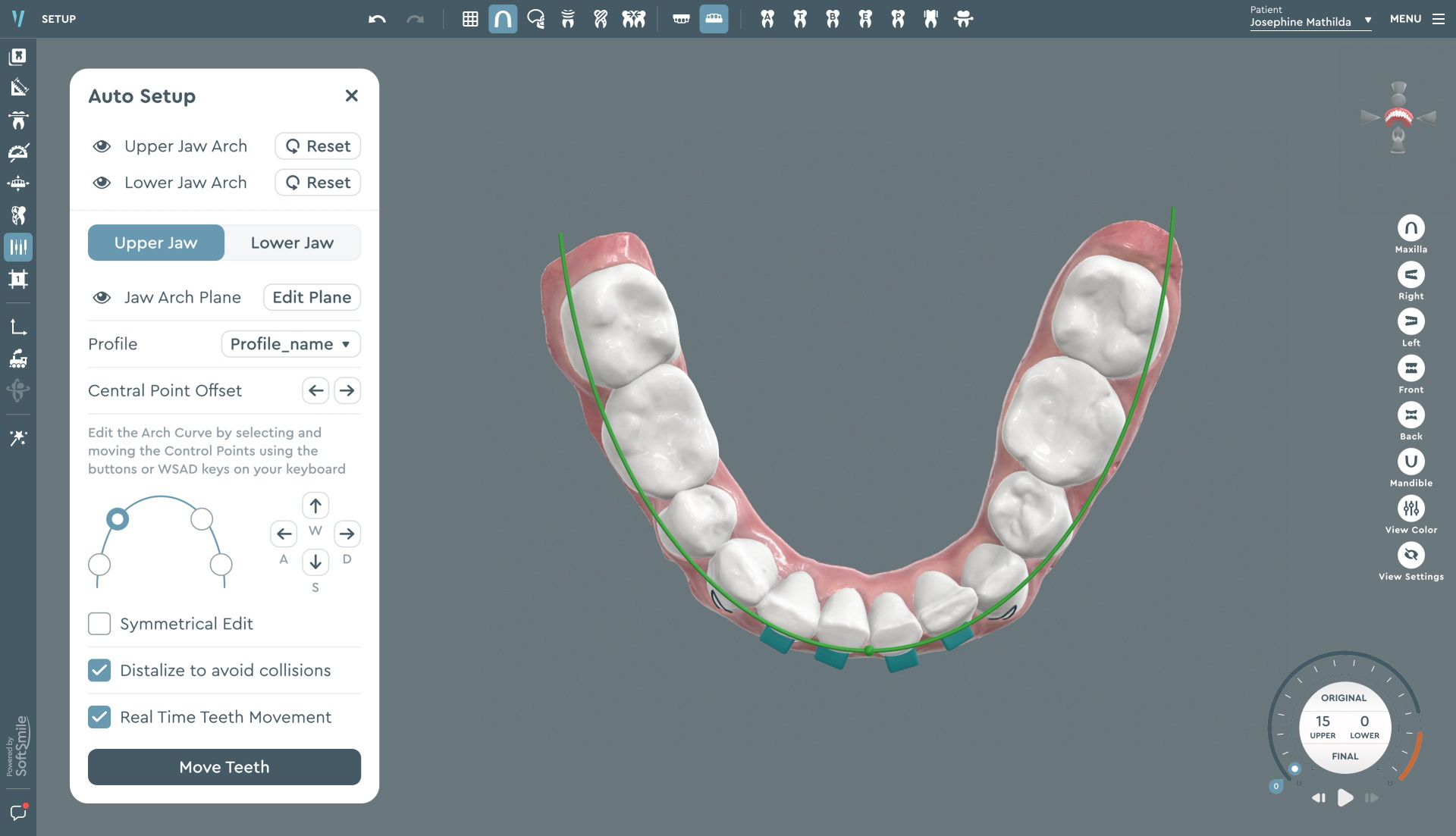
Clear Aligner Therapy
Clear aligners have transformed orthodontics.
You will explore:
- Indications for aligner therapy
- Digital treatment planning workflows
- Attachment placement concepts
- Patient compliance monitoring
- Refinement protocols
As aligner therapy continues to expand, assistants trained in digital orthodontic workflows become increasingly valuable.
Orthodontic Adjustments & Maintenance
Orthodontic care is an ongoing process.
You will gain knowledge in:
- Adjustment visit protocols
- Elastic placement education
- Retainer delivery and maintenance
- Managing orthodontic emergencies
- Patient hygiene instructions
Strong follow-up systems improve outcomes and patient satisfaction.
Pediatric & Adolescent Orthodontics
Early intervention can guide jaw growth and prevent future complications.
You will learn about:
- Growth monitoring
- Space maintainers and expanders
- Phase I and Phase II treatment
- Communication strategies for younger patients
- Parental education
Orthodontic assistants must understand both clinical mechanics and patient psychology.
Patient Education & Case Acceptance
Orthodontic success depends heavily on patient compliance.
You will strengthen your ability to:
- Provide oral hygiene instruction for braces
- Explain dietary restrictions
- Educate on aligner wear protocols
- Support treatment presentation
- Encourage long-term retention compliance
Assistants who communicate effectively increase case acceptance and reduce complications.
Why Orthodontics Certification Elevates Your Career
A student trained in orthodontics demonstrates:
- Advanced knowledge of tooth movement principles
- Familiarity with fixed and removable appliances
- Confidence in digital orthodontic workflows
- Understanding of long-term treatment progression
- Strong patient education and communication skills
- Increased value in specialty and multi-provider practices
Orthodontics is one of the fastest-growing areas of dentistry — especially among adult patients seeking cosmetic improvement.
Assistants trained in orthodontics often enjoy:
- Structured treatment schedules
- High patient interaction
- Clear treatment milestones
- Strong demand in specialty offices
Build Specialized Expertise in Smile Transformation
If you want to:
- Work in an orthodontic specialty practice
- Expand your digital dentistry knowledge
- Increase your clinical authority
- Play a direct role in transforming smiles
Then our Orthodontics Training Program at Broward Dental Academy is your next strategic step.
Understand the mechanics, support the precision, help create confident, lasting smiles.